Digital Workflow for a Dental Restoration - Chicago - First Choice Dental Lab

CASE STUDY: Fully Digital Workflow for a Full Mouth Rehab

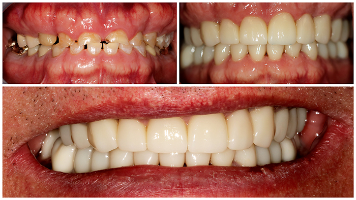
The Challenge

The patient presented to one of our valued customers with severely worn dentition and collapsed bite.

The dentist wanted to open the bite and fully restore both arches. We had discussed a fully digital workflow process for a full-mouth rehab with the dentist, and he was eager to try it.

Due to the patient’s work travel schedule, and the dentist’s desire to open and re-establish the patient’s bite, the case was done one arch at a time starting with the upper.

The dentist took digital impressions of the patient, and submitted it to our lab.

Digital Workflow for a Dental Restoration - Chicago - First Choice Dental Lab

The Digital Workflow Process

We took the digital scans, opened the bite approximately 3 mm using the virtual articulator, and designed a full-arch digital wax up.

From this design, we created shell temps in three sections. Then, using a printed model of the design, we developed reduction and temporary placement guides to aid the doctor.

 

Related Article: Intraoral Scanning Becoming Dentistry Standard

 

He prepped the teeth in stages, and back-filled the temps to fit.

Then, the dentist took a final digital impression, and used the new temps to take a bite scan in three different sections. That gave us the new virtual dimension of occlusion (VDO).

The patient wore the temps for a few weeks, then returned for a check-up appointment.

After confirming the patient’s comfort level with the new bite, the dentist asked us to proceed.

We used the new scan and new bite to fabricate the final zirconia restorations.

 

Related Article: Zirconia Restorations: Why and How-To

 

The dentist seated the final restorations, then took new preoperative scans with his new upper crowns and the worn-down lower teeth.

In the lab, we took the digital impressions and opened the bite approximately 2 mm. Then, we designed a full-arch digital wax up and followed the same protocol as the uppers.

We also fabricated shell temps and reduction guides.

The dentist prepped, checking his preps with the reduction guides, back-filled the temps, and took final digital impressions and bite scans utilizing the temps in 3 sections.

After the dentist saw the patient for a follow up visit to check the new bite, we completed the final zirconia restorations to the new bite.

 

The Result

Our customer was pleased with the process and particularly how our wax up, reduction guides, and shell temps simplified and guided his processes.

At the end, we completed a successful full-mouth rehabilitation by way of a fully digital workflow.

And, more importantly, the patient gained confidence by way of a new smile.

 

Contact Us Today to Create a New Smile!

  • Work With Us!

  • Already a client?